你有没有注意到,身边的长辈们说话声音越来越大,看电视音量越调越高,甚至有时候你喊好几声他们都听不见?别急着怪他们“耳背”,这很可能是 “老年性耳聋” 。它不是简单的“老了正常”,而是一种与大脑萎缩、社交孤立、甚至老年痴呆密切相关的感官衰退。
数据显示,65 岁以上人群中超 40% 受其困扰,它不仅会让老人陷入社交隔离、诱发抑郁,还会显著增加认知衰退和痴呆的风险。目前应对老年性耳聋,我们大多只能依靠助听器、人工耳蜗这类 “辅助工具”,缺乏从根源上预防或缓解的手段。
最近,一项来自重庆大学的研究,给人们带来了一线希望。研究团队发现,一种广泛存在于苹果、洋葱、蓝莓中的天然化合物——槲皮素,竟然能通过精准调控身体的两大生理机制,有效延缓小鼠老年性耳聋的发生[1]。

先搞懂:人老了,耳朵为什么会 “背”?
要想知道槲皮素怎么护耳,得先搞明白:我们的听力到底是怎么丧失的?
研究指出,我们的耳朵里有两个对衰老极其敏感的部位 ——耳蜗和听觉皮层,而摧毁它们的 “元凶”,正是衰老的两大典型特征:线粒体自噬失灵和慢性炎症失控。
耳蜗里的毛细胞、螺旋神经节神经元,是感知声音、向大脑传递听觉信号的核心。这些细胞的工作强度极大,对能量的需求也大,而给它们供能的正是线粒体。但随着年龄增长,线粒体的 “工作效率” 会持续下降,大量受损的线粒体无法被及时清理,只能堆积在细胞内,也就是线粒体自噬失灵。

这些 “报废线粒体” 不仅不干活,还会产生大量活性氧(ROS),引发氧化应激,就是细胞被 “氧化损伤”,毛细胞和神经元会慢慢凋亡、减少。同时,受损线粒体的堆积还会激活一个关键的炎症开关 ——NLRP3 炎症小体。
这个炎症小体一旦被激活,就会、促使身体释放大量炎症因子,比如 IL-1β、IL-18、TNF-α 等,让耳蜗和听觉皮层陷入慢性炎症状态。炎症又会进一步加剧线粒体损伤,形成 “损伤 - 炎症” 的恶性循环,最终导致听觉阈值升高、听力下降,甚至耳蜗组织的结构性退化。
更关键的是,人体自身清理受损线粒体的机制——线粒体自噬(mitophagy),会随着年龄增长逐渐失灵。原本这个机制能像 “细胞清洁工” 一样,及时清除报废线粒体,维持细胞正常运作,可一旦它罢工,上述的恶性循环就会愈演愈烈,这也是老年性耳聋发生的核心机制之一。
研究实锤:槲皮素让小鼠的 “衰老耳朵” 恢复灵敏
在这项新研究中,科学家们用了6个月大的C57BL/6J小鼠(相当于人类40-50岁),连续喂了6个月的槲皮素(每天每公斤体重50毫克),然后观察它们的听力变化。结果令人惊喜:
1. 听觉阈值显著降低,高频听力改善尤为明显:
研究通过听觉脑干反应(ABR)检测小鼠的听力,发现 12 月龄生理盐水组的小鼠,在 8kHz、16kHz、32kHz 三个频率的听觉阈值都大幅升高,而槲皮素处理组的小鼠,这三个频率的听觉阈值显著降低,尤其是 32kHz 的高频听力,改善效果最为突出。

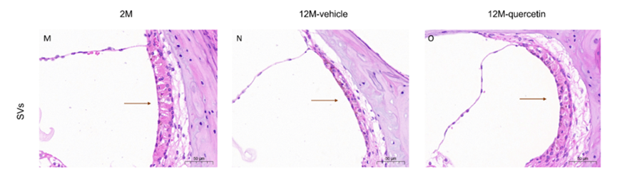
更直观的是,解剖后发现:没吃槲皮素的小鼠,耳蜗里的外毛细胞和螺旋神经节神经元死伤惨重;而吃了槲皮素的小鼠,这些关键结构保存得相当完好。
2. 耳蜗组织退化被有效抑制
生理盐水组的老年小鼠,出现了明显的毛细胞(尤其是外毛细胞)丢失、螺旋神经节神经元减少,且耳蜗的血管纹厚度显著变薄 —— 血管纹是维持耳蜗内环境、保证听觉细胞正常工作的关键结构。而槲皮素处理组的小鼠,这些组织的退化程度被大幅缓解,毛细胞和神经元的数量明显更多,血管纹的厚度也更接近年轻小鼠。

简单来说,槲皮素不仅让老年小鼠的耳朵对声音更灵敏,还守住了它们耳蜗的 “生理结构”,阻止了衰老带来的组织损伤。
核心机制:一手激活自噬,一手抑制炎症,双管齐下护耳朵
槲皮素的护耳效果并非偶然,研究团队进一步探索了其背后的分子机制,最终发现,它的核心作用正是精准激活线粒体自噬和强效抑制 NLRP3 炎症小体激活,双管齐下打破了 “损伤 - 炎症” 的恶性循环。
研究发现,老年小鼠耳蜗里的PINK1、Parkin、BNIP3、LC3B这些“回收站关键蛋白”表达量都很低——回收站罢工了。而槲皮素治疗后,这些蛋白的表达量显著回升,LC3B-II/LC3B-I的比例也大幅提高,这也意味着线粒体自噬被激活。

同时,研究人员检测了小鼠耳蜗和听觉皮层的炎症水平。结果发现,老年小鼠体内的炎症因子TNF-α、IL-6、IL-1β、IL-18都飙得老高,NLRP3炎症小体也被异常激活。而槲皮素处理组,这些炎症指标几乎降到了年轻小鼠的水平。

这意味着,槲皮素直接掐断了那条“起火”的信号通路。
简单来说:槲皮素能让细胞自己清理了废旧线粒体,从而切断了炎症的源头。
日常能靠槲皮素护耳吗?这些事实要清楚
看到这里,你可能已经在查哪里能买到槲皮素补充剂了。先别急,我们得冷静分析一下。
首先,这项研究的确很扎实,机制清晰,数据漂亮。 它第一次把“激活线粒体自噬”和“抑制NLRP3炎症”这两个点串联起来,解释了槲皮素护耳的完整逻辑链。
但是,从“小鼠有效”到“人能用”,还有三道坎:
• 1. 生物利用度问题:槲皮素的口服吸收率其实不高,大部分会被肠道代谢掉。研究中用的是灌胃给药(直接进胃),剂量是50mg/kg/天。换算到60公斤的人,大约是3克/天——这个剂量靠吃苹果洋葱远远达不到,即使吃补充剂也得大剂量服用,安全性需要重新评估。
-2. 因果关系待证实:这项研究只证明了“相关”,还没完全证明“因果”。虽然槲皮素处理后线粒体自噬增加了、炎症减少了,但如果把PINK1或NLRP3基因敲除掉,槲皮素还有用吗?这需要后续的“基因敲除”实验来证实。
• 3. 人和小鼠不一样:C57BL/6J小鼠是老年性耳聋的经典模型,它们6个月就开始耳聋,12个月就很严重了。而人类听觉衰老是几十年缓慢发生的过程,还受到环境噪声、药物、心血管疾病等多种因素影响。槲皮素在复杂的人体环境里还能不能这么灵光?需要临床试验验证。
那么,我们现在能做什么?
虽然不建议盲目去买高剂量槲皮素补充剂,但这篇研究给了我们两个实实在在的启示:
• 第一,多吃富含槲皮素的食物,绝对没坏处。 苹果(带皮)、洋葱(红洋葱含量高)、蓝莓、西兰花、、绿茶……这些天然食物里的槲皮素,配合其他植物化学物,长期吃对心血管、抗炎、抗衰老都有明确好处。顺便还能护耳,何乐而不为?

• 第二,抗衰老的核心逻辑越来越清晰了。 无论是槲皮素,还是之前大热的NMN、白藜芦醇、二甲双胍,它们殊途同归——都在做两件事:减少线粒体损伤和抑制慢性炎症。这再次印证了一个观点:衰老不是不可逆的随机磨损,而是一个可以被调节的生物学过程。
对于我们普通人来说,这项研究也给了一个明确的健康提示:坚持吃新鲜的蔬菜水果,保持健康的饮食习惯,就是对抗衰老、保护身体器官的最简单有效的方式。而对于科研人员来说,未来还需要进一步解决槲皮素的生物利用度问题,开展人体临床试验,让这个天然的 “抗衰老物质” 真正成为老年性耳聋的克星。
毕竟,让老年人能清晰地听到家人的话语、听到世界的声音,才是衰老最温暖的模样。
参考资料:
[1] Feng, M., et al. (2026). Quercetin prevents age-related hearing loss in C57BL/6J mice by activating mitophagy and inhibiting the NLRP3 inflammasome. PLOS One, 21(3), e0342423.