应该没有人不知道二甲双胍吧?作为2型糖尿病的一线用药,它已经在临床上使用了半个多世纪。但真正让它出圈的,是这些年不断涌现的“跨界”研究——延缓衰老、抗炎、甚至抗癌,以至于有人称它为“神药”。
没成想,今年1月,哈佛医学院/麻省总医院的研究团队在《Nature Aging》上发表的一项研究,给二甲双胍又添了一把“火”。新研究发现了二甲双胍对抗衰老相关炎症的一个新机制:它能够阻止衰老细胞核内的染色质片段“逃逸”到细胞质中,从而掐断慢性炎症的信号源头[1]。
![图片来自参考资料[1]。](https://cms.changshou.com/admin/static/js/ueditor/php/../attached/image/20260302/20260302061143_31785.png)
简单说,二甲双胍在细胞里做了一件很具体的事——把该关的门关好。
衰老细胞里的“垃圾”去哪了
细胞衰老是机体老化的基本过程之一。当细胞进入衰老状态,它并不会立刻死亡,而是会持续分泌一系列炎症因子、趋化因子和蛋白酶,这些东西统称为衰老相关分泌表型(SASP)。SASP的存在会改变机体的慢性低度炎症状态,推动动脉粥样硬化、肿瘤等年龄相关疾病的发生和发展。
问题在于,这些炎症信号是从哪里来的?
过去几年,科学家逐渐注意到一个现象:在衰老细胞中,细胞核里会脱落出一些染色质片段,它们不知怎么就跑到了细胞质里,被细胞的“监控系统”——cGAS-STING通路识别,从而拉响炎症警报。但这里有个物理上的疑问:核孔复合体的直径有限,而这些染色质片段体积远超核孔的容纳范围,它们是怎么出去的?
![核逸出及其受葡萄糖和二甲双胍调节的示意图。图片来自参考资料[1]+自己用翻译。](https://cms.changshou.com/admin/static/js/ueditor/php/../attached/image/20260302/20260302061143_88925.png)
新研究给出了答案:染色质片段通过一种叫做“核逸出”(nuclear egress)的方式离开细胞核。这是一种特殊的膜运输机制,原本用于运输那些体积过大、无法通过核孔的大分子复合物。研究团队发现,衰老细胞中的染色质碎片正是利用这一通道,从核膜内侧被包裹、出芽,最终释放到细胞质中。
为了验证这一发现,研究人员用CRISPR技术敲除了参与核逸出的关键蛋白——ESCRT-III复合物的组分(CHMP4B和ALIX),结果染色质片段被堵在了核膜处,无法进入细胞质,cGAS-STING通路也就无法激活。
换句话说,只要堵住这条出口,炎症信号就被“静音”了。
二甲双胍切断了传送带
找到出口只是第一步。接下来要回答的是:这个出口受什么调控?二甲双胍又能做什么?
研究团队发现,葡萄糖限制能够显著降低关键蛋白ALIX的水平,从而减少染色质片段的释放。那么,细胞如何感知葡萄糖水平的变化?答案是AMPK——细胞内的能量感受器。在低糖状态下,AMPK被激活,进而促使ALIX蛋白被磷酸化标记,最终通过自噬途径被降解。
而二甲双胍恰好是AMPK激活剂。在正常糖浓度下,二甲双胍就能模拟低糖环境的效果,降低ALIX蛋白水平,从而阻断染色质片段的核逸出。
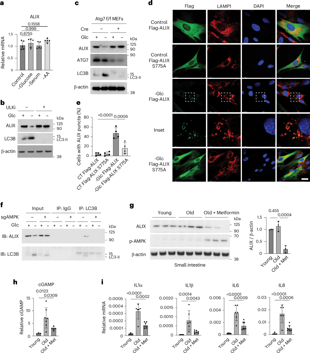
![自噬介导ALIX蛋白降解及二甲双胍在小鼠肠道中的作用。图片来自参考资料[1]。](https://cms.changshou.com/admin/static/js/ueditor/php/../attached/image/20260302/20260302061143_61530.png)
研究人员在超过2岁的自然衰老小鼠(相当于人类老年阶段)饮水中加入二甲双胍,持续3周。结果在衰老的肠道组织中观察到:AMPK被激活,ALIX蛋白水平下降,染色质片段减少,cGAS-STING信号减弱。
需要说明的是,二甲双胍并没有全面压制免疫反应——它对细胞应对急性病毒感染的应答没有明显干扰,主要拦截的是衰老细胞自己制造的炎症源头。
不止是降糖药
二甲双胍的衰老干预潜力并非第一次被提及。此前已有大量研究从不同角度探讨过它的作用机制:激活AMPK、抑制mTOR信号通路、改善线粒体功能、增强自噬、延缓端粒缩短、抗氧化应激等[2]。中科院团队2024年在《Cell》上发表的研究显示,长期服用二甲双胍的食蟹猴,生物学年龄比对照组年轻约6岁,换算到人类相当于“减龄”近20年[3]。
![长期服用二甲双胍显著延缓食蟹猴衰老。图片来自参考资料[3]。](https://cms.changshou.com/admin/static/js/ueditor/php/../attached/image/20260302/20260302061144_44994.png)
但这项新研究的独特之处在于,它首次把“代谢”和“炎症”这两个衰老的核心特征,通过“核逸出”这一物理过程直接联系起来。或许用不了多久,“靶向染色质片段的核释放”就可能成为干预年龄相关炎症的新策略。
一些需要了解的事实
尽管研究结果令人关注,但有几点需要说清楚。
第一,这仍是临床前研究。主要证据来自细胞实验和动物模型,在人体中的情况还需要进一步验证。
第二,二甲双胍是处方药,有明确的适应症和禁忌症。根据临床指南,它的常见不良反应包括胃肠道症状(发生率约20-30%,表现为恶心、呕吐、腹痛),长期高剂量使用可能影响维生素B12的吸收,需要定期监测。肾功能不全的患者,一定要严格执行正规医院专业医生评估后的建议,并按时复诊,及时调整用药[4,5]。
第三,目前没有证据支持普通人为了“抗衰老”自行服用二甲双胍。美国正在进行的TAME(Targeting Aging with Metformin)临床试验,目的就是评估二甲双胍能否延缓老年人衰老相关疾病的进程[6]。在结果出来之前,把二甲双胍当保健品吃,风险远大于未知的收益。
至于未来能否基于新研究的机制开发出更精准的药物,那是下一步的事了。
参考资料:
[1]Kumazawa T, Xu Y, Wang Y, et al. Metformin inhibits nuclear egress of chromatin fragments in senescence and aging. Nature Aging. 2026;6(2):303-315. doi:10.1038/s43587-025-01048-0
[2]及辉, 俞跃, 等.二甲双胍在抗衰老领域中的研究进展. 《中国现代医生》, 2025年, 63卷, 第15期.
[3]Yang Y, Lu X, Liu N, et al. Metformin decelerates aging clock in male monkeys. Cell. 2024;187(22):6358-6378.e29. doi:10.1016/j.cell.2024.08.021
[4]留典淳, 等. 循证药学视角下二甲双胍在糖尿病前期的临床实践及合理用药. 中国全科医学, 2026, 29(4): 389-395.
[5]清华大学医院. 盐酸二甲双胍片药品说明书.
[6]Barzilai, N., et al. Metformin as a tool to target aging. Cell Metabolism, 2016, 23(6): 1060-1065.